ubat gusi bengkak di farmasi
Kalau boleh merawat guna bahan semulajadi kita kena guna kita kena try juga sebab bahan2 yang di gunakan tidak mengandungi sebarang bahan kimia. Perubatan Islam Jarak Jauh 2018.
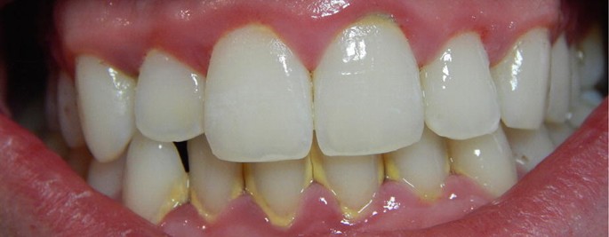
Setiap individu haruslah menjaga kebersihan mulut dengan teliti supaya dapat mengelakkan berlakunya kejadian seperti ini.
. Badan ni kita kadang2 tak boleh di ajar asyik makan ubat je. Selain itu cara hidup juga perlu diubah seperti menghentikan penggunaan tembakau untuk membantu proses pemulihan. Ubat Sakit Gigi Berlubang dan Gusi Bengkak Sebenarnya banyak cara untuk hilangkan sakit gigi seperti dengan petua nenek moyang yang menggunakan bahan-bahan semulajadi atau dengan ubat yang boleh dibeli di kedai runcit farmasi serta klinik gigi yang bertauliah.
Ubat-ubatan yang boleh didapatkan di farmasi hanya sekadar ubat untuk menurunkan rasa sakit walau bagaimanapun ubat-ubatan seperti antibiotik untuk melawan jangkitan. Obat medis lainnya yang bisa digunakan untuk mengatasi gusi bengkak adalah clindamycin. Boleh Juga Beli Ubat Bengkak Gusi Jika Tak Tahan Sangat.
Jadi sebab aku sedang di landa bengkak gusi ni maka aku nak share la petua2 untuk menyembuhkan bengkak gusi secara semulajadi. Terdapat pelbagai jenis rawatan mengikut keparahan penyakit gusi tersebut. Berikut ini kami jelaskan cara menghilangkan gusi bengkak dengan pengobatan sindrom sjogren secara alami.
Makan Ubat Kencing Manis Untuk Kurus. Ada yang suruh kumur kumur air garam suam laa. Related Posts To Ubat Gusi Bengkak Kanak Kanak Di Farmasi Ubat Gusi Bengkak Kanak Kanak Di Farmasi 2019-09-10T170500-0700 Rating.
Sekiranya gusi anda membengkak ia mungkin menonjol atau terkeluar. Fungsi obat ini sebagai antibiotik yang mampu menangkal bakteri dan kuman penyebab gusi bengkak. Anda sangat mudah mendapatkan obat dengan khasiat bunga rosella di apotik terdekat atau di toko-toko obat herbal.
Cari jenama yang mengandungi bahan dengan sifat antiseptik yang kuat. Gusi mudah berdarah ketika menyikat gigi atau. Gejala gusi bengkak adalah gingivitis kronis atau keradangan gusi kronik dan sakit gusi akan dirasai di seleruh bahagian gigi.
Lepas tu aku minta doktor merangkap Medical Officer. Obat Gusi Bengkak di Apotik Paling Ampuh Obat sakit gusi bengkak kerap kali dipakai buat menanggulangi keluhan nyeri serta pembengkakan pada gusi. Ada yang suruh makan ubat kecutkan gusi bengkak laa.
Jadi ubat apa di farmasi yang berkesan untuk menghilangkan rasa sakit akibat gusi bengkak. Maka gunakan obat ini dengan hati-hati. Penyebab gusi bengkak ada bermacam-macam di antaranya gingivitis atau radang gusi terjadinya infeksi kekurangan vitamin serta peningkatan aliran darah selama kehamilan.
Anda bisa meminum obat ini sebanyak tiga kali dalam sehari dan dosisnya sekali minum sekitar 150 mg. Obat Gusi Bengkak di Apotik Paling Ampuh Obat sakit gusi bengkak kerap kali dipakai buat menanggulangi keluhan nyeri serta. Punca gusi bengkak ialah sebab pakai pendakap gigi braces Sebab pakai gigi palsu.
Obat antiinflamasi non steroid yang dapat mengobati gusi bengkak adalah asam mefenamat ibuprofen dan diklofenak. Semua rawatan memerlukan penjagaan yang baik di rumah oleh pesakit. Situasi ini dapat diakibatkan oleh bermacam perihal.
Sebab gingivitis atau dipanggil keradangan gusi. Sampai staff pun tak berani nak cucuk jarum dekat tangan aku. Ibuprofen sama efektifnya seperti paracetamol sebagai obat nyeri ketika gusi bengkak.
Dijamin dengan menggunakannya gusi bengkak sembuh dan rasa nyerinya hilang. Gusi bengkak dan membersihkan gigi dari kuman yang menempel. Gusi bengkak akibat infeksi bakteri yang tergolong parah memerlukan antibiotik untuk membunuh bakteri penyebab penggunaannya harus sesuai dengan.
Ada jugak solution yang ai dapat. Selama sakit gusi saat bengkak pertumbuhan bakteri bisa terjadi dengan cepat hal tersebut juga yang menyebabkan sakit gusi lebih nyeri. Gusi saya bengkak dan bernanahsaya tak dapat buat appointment di klinik kerajaan sbb fully bookedmacam 1 orang doktor telah menjawab soalan ini dan dilihat oleh 3 orang.
Penyebab gusi bengkak yang utama ialah kebersihan mulut. Pembengkakan gusi dapat diatasi dengan berkumur dengan larutan hidrogen peroksida. Supaya obat gusi bengkak dapat bekerja dengan efisien Kamu butuh memakainya cocok penyebab bengkaknya gusi.
April 23 2022. Tujuan utama rawatan penyakit gusi adalah mencegah berlakunya jangkitan. 1622019 obat ini tersedia dalam bentuk kaplet yang bisa anda beli di apotek.
Gejalanya adalah mudah terluka dan warna email memerah. Akan tetapi obat-obat semacam ini sebaiknya tidak digunakan pada orang yang menderita ulkus peptikum atau lebih dikenal. Obat Gusi Bengkak Alami.
Selain itu kita juga boleh berkumur dengan menggunakan ubat kumur. Ubat Cirit Birit Cara. Bedanya ibuprofen sekaligus meredakan radang penyebab bengkak dan demam yang menyertainya.
Kerana kekurangan asid folik. UBAT SURUT BENGKAK - Sebelum ni tangan aku yang ada fistula ni mengalami infection dan bengkak yang agak teruk. Kalau di Google untuk ubat bengkak gusi kat farmasi antara nama ubat yang keluar adalah Bonjela tapi aku memang tak pasti mana sebabnya aku beli ubat gusi bengkak ni secara terus dari klinik pergigian swasta je.
Punca gigi bengkak kerana perubahan hormon wanita hamil mengandung. Beberapa minggu lepas ai pergi farmasi dan cari ubat yang digembar gemburkan tu. Terdapat pelbagai jenis ubat yang boleh didapati di farmasi dalam bentuk tablet sapuan gel atau ubat kumur.
Aku mulanya jadi panik tak tahu nak buat apa. Kedai Ubat Kuat Jitra. Q7 Ubat Kencing Manis.
Obat-obat ini sangat efektif meredakan inflamasiradang pada gusi sehingga bengkak pada gusi dapat berkurang. Masalah gusi bengkak biasanya bermula di mana gusi mula memenuhi gigi. Ia boleh didapati di kedai ubat dan farmasi.
Cara Hilangkan Gusi Bengkak Yang Sakit Dan Bernanah Gusi bengkak boleh berlaku pada siapa saja baik dewasa mahupun kanak-kanak. Obat Farmasi Untuk Sakit Gigi alea fitri. I Medikel Pharmacy Berek 12 Ubat Kumur Oradex Boleh Melegakan Sakit.
Staff yang sorang tu je yang berani. Karena kondisi inilah gusi akhirnya bengkak. Penting untuk dipahami bahwa efek ibuprofen lebih kuat dari paracetamol.
Ubat Batu Karang Daun Kekabu. Chlorhexidine merupakan obat antiseptik kumur yang dapat mencegah pertumbuhan bakteri saat sakit gigi dan gusi. Terima kasih semuaaa.
Sebab jarang berus gigi. 1992021 sakit gigi. Penyelesaian antiseptik ini boleh didapati di farmasi atau kedai ubat terdekat dan boleh dibeli tanpa preskripsi doktor.
Masalah gusi bengkak biasanya bermula di mana gusi mula memenuhi gigi. Deksametason adalah jenis obat steroid yang dapat mengatasi keluhan. Wednesday January 26 2022.
Kandungan aktif dan kandungan tidak aktif. Lama sangat aku berzikir dekat laki aku aku nak makan aku nak rasa Lobster di. Harga Ubat Gusi Bengkak Di Farmasi.
Ini obatnya silakan di coba yaitu. Antara cara menjaga kebersihan mulut adalah dengan menggosok gigi sekurang-kurangnya 3 kali sehari.
Obat Gusi Bengkak Obat Sakit Gusi Obat Pipi Bengkak Obat Sakit Gigi Obat Rahang Bengkak Obat Sakit Mulut Qnc Jelly Gamat Emas Lazada Indonesia
9 Obat Gusi Bengkak Yang Ampuh Bikin Cepat Kempes
8 Petua Gusi Bengkak Ikut Petua Orang Lama Guna Bahan Dapur Je Berkesan
Klinik Pergigian Syarifah Masalah Gusi Bernanah Bengkak Gusi
Bengkak Prices And Promotions Jun 2022 Shopee Malaysia
Jual Obat Gusi Bengkak Ampuh Gusi Bernanah Dan Berdarah Sariawan Sakit Gigi Dan Gusi Bengkak Indonesia Shopee Indonesia
Farmasi Darlina Aduhhhh Sakit Gigi Kadangkala Tak Facebook
Farmasi Gpharmax Chabang Tiga Ubat Kumur Boleh Membantu Melegakan Sakit Gigi Dan Membunuh Kuman Kulat Di Dalam Mulut Bebas Alkohol Mampu Mengurangkan Masalah Berkaitan Gigi Bengkak Gusi
Jagalah Gigi Jangan Sampai Terinfeksi Gara Gara Gusi Bengkak Rsud Dr Iskak Tulungagung
Faktor Dan Tanda Penyakit Gusi
Doa Merawat Gusi Bengkak Dan Bernanah Dua To Treat Swollen Gum And Pocket Of Pus Abscess Youtube
Jual Bisa Cod Obat Gusi Bengkak Dan Sakit Gigi Untuk Anak Dewasa Obat Gusi Bengkak Karena Gigi Berlubang Gusi Ada Benjolan Atasi Masalah Gusi Bengkak Berdarah Bernanah Secara Alami Propolis
Jual Obat Sakit Gigi Manjur Obat Gusi Bengkak Ampuh Gigi Berlubang Obat Gigi Keropos Obat Sakit Gigi Ngilu Manjur Alami Naturindo Bpom Halal Sembuh Tanpa Kambuh Tanpa Efek Samping Indonesia Shopee Indonesia
I Medikel Pharmacy Puchong Permai Ubat Kumur Oradex Boleh Melegakan Sakit Gigi Dan Membunuh Kuman Kulat Di Dalam Mulut Bebas Alkohol Mampu Mengurangkan Masalah Berkaitan Gigi Bengkak
Obat Bengkak Gusi Sakit Gusi Sakit Gigi Pada Gusi Ggi Berdarah Obat Kelenjar Berlebih Radang Gusi

